
قیمت لمینت دندان به نسبت دیگر روش های زیبایی دندان ها بالاتر است و بالا بودن هزینه لمینت دندان به دلیل کیفیت ساخت و مواد استفاده شده در ساخت لمینت می باشد.
در ادامه این مطلب در جدول هزینه لمینت دندان می توانید قیمت لمینت دندان را مشاهده کنید.
لمینت دندان یا ونیر دندانveneers-laminates روکش هایی ظریف از جنس سرامیک یا شیشه ای هستند که جهت زیبایی دندان ها بکار می روند.

امروزه با توجه به روش های مدرن دندانپزشکی زیبایی، داشتن لبخندی زیبا و درخشان دیگر سخت نیست و با استفاده از لمینت دندان طرح لبخند، بهترین لمینت دندان تهران می توانید از لبخند زیبا لذت ببرید
لمینت دندان طرفداران بسیار، کاربرد و مزایای فراوانی دارد. در ادامه در مورد لمینت دندان قیمت 1401 ، قیمت لمینت دندان طرح لبخند و همچنین بهترین نوع لمینت دندان در تهران صحبت خواهیم کرد.
آیا شما قصد انجام دادن لمینت دندان طرح لبخند دارید ؟ آیا به فکر زیبا کردن دندان هایتان با لمینت دندان هستید ؟
اگر این چنین سوالاتی در خصوص لمینت دندان و قیمت لمینت دندان در سال 1401 دارید تا آخر این مطلب همراه ما باشید.
لمینت دندان چیست ؟
لمینت دندان (لمینت دندان به انگلیسی Dental laminate) روکشی ظریف و لایه ای نازک از جنس سرامیک یا شیشه است که جهت زیبایی دندان ها و درخشندگی بیشتر دندان استفاده می شود.
امروزه یکی از راه های اصلاح فرم دندان ها استفاده از لمینت دندان بر روی دندان های اصلی است
لمینت دندان اینگونه است که پزشک بعد از معاینه و باتوجه به جنس و ضخامت لمینت دندان های شما، دندان های اصلی را کمی تراش میدهد و قالبگیری انجام می شود.
لمینت دندان لایه ای بسیار نازک و ظریف است که ضخامت آن حدودا 0.2 الی 0.5 سانتیمتر است و براحتی بر روی دندان های شما قرار میگیرند.

قیمت لمینت دندان 1401
قیمت لمینت دندان همیشه موضوعی مهم و البته مبهم در ذهن مراجعه کنندگان می باشد. باید بگوئیم که قیمت لمینت دندان به چند عامل مهم بستگی دارد.
میزان هزینه لمینت دندان بر طبق جنس لمینت دندان، کشور سازنده لمینت، مارک لمینت دندان، تعداد دندان هایی که به لمینت دندان نیاز دارند و منطقه کلینیک دندانپزشکی شما تعیین می شوند و این موارد همیشه در قیمت لمینت تاثیرگذار هستند.
انجام لمینت دندان بدون جراحی و با کمترین میزان تراش انجام میگیرد بعد از جدول هزینه لمینت دندان در ادامه می توانید شرایط لمینت دندان قسطی را نیز مشاهده کنید.
به طور کلی قیمت لمینت دندان 1401 از هر واحد 1.200.000 تا حدودا 6.000.000 تومان می باشد که هرکدام جنس و کیفیت متفاوتی دارند در جدول زیر قیمت تمامی مارک های لمینت دندان ذکر شده است.
| نوع لمینت دندان | قیمت لمینت دندان (هر واحد) |
| لمینت دندان موقت | 1.200.000 الی 1.500.000 |
| لمینت ونیر کامپوزیت | 1.200.000 الی 2.000.000 |
| لمینت دندان زیرکونیا | 2.200.000 تومان |
| لمینت دندان سرامیکی Vita | 3.800.000 تومان |
| لمینت دندان ایمکس | 5.000.000 تومان |
| لمینت دندان فلدسپاتیک | 7.400.000 تومان |

قیمت بهترین لمینت دندان طرح لبخند
بهترین نوع لمینت دندان چیست؟ در این قسمت بهترین لمینت دندان را همراه قیمت و جدول هزینه لمینت دندان سرامیکی معرفی خواهیم کرد.
لمینت دندان سرامیکی به عنوان بهترین نوع لمینت دندان و زیباترین لمینت دندان شناخته می شود که از درخشندگی و استحکام فوق العاده بالایی برخوردار است.
همچنین این لمینت دندان دارای کمترین میزان ضخامت است که در هنگام چسباندن با حداقل تراش بر روی دندان اصلی شما قرار میگیرد.
لمینت دندان سرامیکی بالاترین کیفیت و طول عمر را دارد که در جدول زیر میتوانید قیمت لمینت دندان سرامیکی را مشاهده کنید.
| نوع لمینت دندان | ضمانت | قیمت لمینت دندان (هر واحد) |
| لمینت دندان سرامیکی ips | 15 سال | 5.800.000 تومان |
| لمینت دندان طلا | – | بر حسب قیمت روز طلا |
لمینت دندان طرح لبخند یا لمینت دندان بازیگران معمولا برای طرح های فانتزی بکار می رود که به طرح لبخند فانتزی نیز معروف است.
این نوع لمینت بدلیل درخشندگی و سفیدی بسیار زیاد به لمینت دندان طرح لبخند شناخته شده است و طرح لبخندی بسیار زیبا و درخشان را برای شما به ارمغان می آورد.
لمینت دندان قسطی
با لمینت دندان قسطی می توانید بدون نگرانی و دغدغه نسبت به هزینه لمینت دندان از لبخندی زیبا و درخشان بهره مند شوید.
| پیش پرداخت | اقساط ماهیانه | نوع اقساط |
| 30% پرداخت اولیه | 3 الی 5 ماه | چک |
| 50% پرداخت اولیه | 5 الی 8 ماه | چک |
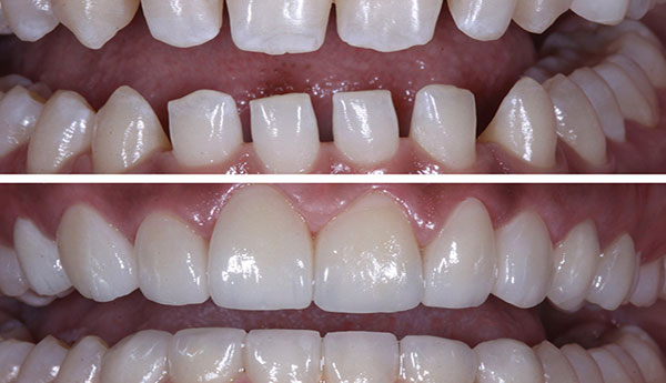
عکس لمینت دندان طرح لبخند
عکس لمینت دندان یکی از مزایای لمینت دندان هست که می توانید ظاهر زیبای لمینت را مشاهده کنید و نسبت به ظاهر دندان های خود تصمیم بگیرید همچنین در عکس لمینت طرح لبخند می توانید زیبایی طرح لبخند خود را مشاهده کنید.




